Digitalised conventional radiology
Digitalised Conventional Radiology facilitates the observation of the internal structures of the body to study possible lesions. New techniques now render the use of remarkably reduced levels of ionising radiation viable, which subsequently simplifies the process and procures sharper and higher quality images to incorporate the data into the centre’s computer system.
- Neuroradiology
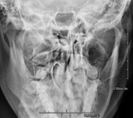
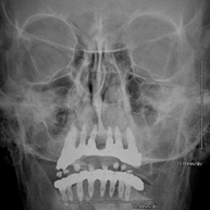
- Skull X-ray

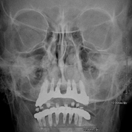
This technique uses X-ray rendered imaging for examining the skull. Indicated for: trauma, premature cranial suture closure.
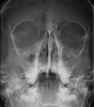
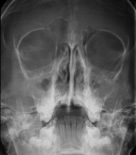
- Paranasal Sinuses X-ray

This technique uses X-ray rendered imaging for examining the paranasal sinuses. Indicated for: difficulty breathing through the nose, chronic cough, headache, mucus.
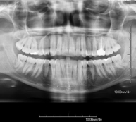
- TMJ X-ray (Temporomandibular Joint)

This technique uses X-ray rendered imaging for examining the temporomandibular joint. Indicated for: trauma, chewing pain, chewing noise, limited mouth opening.
- Cavum X-ray

This technique uses X-ray rendered imaging for examining the cavum. Indicated for: respiratory distress, recurrent angina in infants and children.
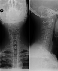
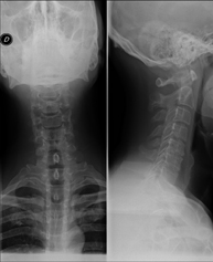
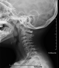
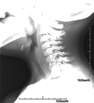
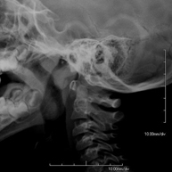
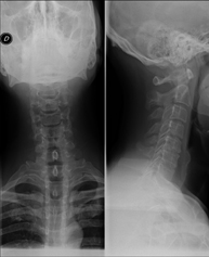
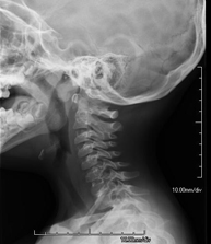
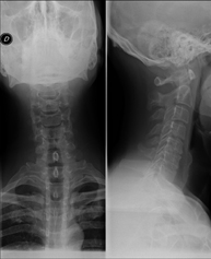
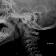
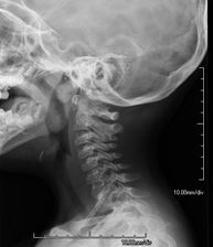
- RX Columna cervical
Tècnica que usa els raigs X a través de la qual s'obtenen imatges de la columna cervical per al seu estudi. Indicacions: traumatisme, contractura cervical, dolor articular. - RX Ossos propis nasals
Tècnica que usa els raigs X a través de la qual s'obtenen imatges dels ossos propis nasals per al seu estudi. Indicacions: traumatisme, planificació cirurgia plàstica. - RX Conducte auditiu intern
Tècnica que usa els raigs X a través de la qual s'obtenen imatges del conducte auditiu intern per al seu estudi. Indicacions: pèrdua de l'audició - RX Òrbites
Tècnica que usa els raigs X a través de la qual s'obtenen imatges de les òrbites per al seu estudi. Indicacions: cos estrany ocular, traumatisme, infeccions. - RX Mandibular
Tècnica que usa els raigs X a través de la qual s'obtenen imatges de la mandíbula per al seu estudi. Indicacions: traumatisme, anomalies congènites - RX Laringe
Tècnica que usa els raigs X a través de la qual s'obtenen imatges de la laringe per al seu estudi. Indicacions: dificultat respiratòria. - RX Coll parts toves
Tècnica que usa els raigs X a través de la qual s'obtenen imatges del coll per al seu estudi. Indicacions: estudi de bonys o nòduls. - RX Xarnera
Tècnica que usa els raigs X a través de la qual s'obtenen imatges de la xarnera o de la base del crani per al seu estudi. Indicacions: estudi de malformacions congènites.
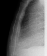
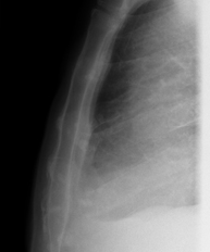
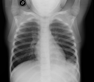
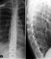
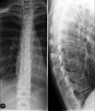
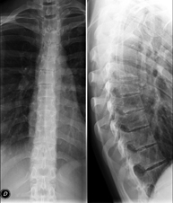
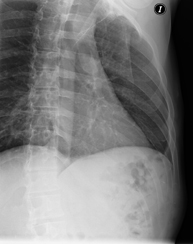
- Tòrax
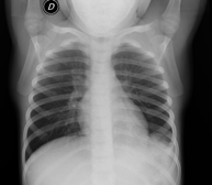
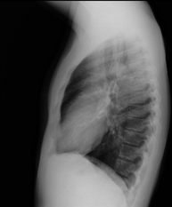
- RX Tòrax
Tècnica que usa els raigs X a través de la qual s'obtenen imatges de la caixa toràcica (cor, pulmó, arcs costal, clavícules, etc.) per al seu estudi. - RX Ester
Tècnica que usa els raigs X a través de la qual s'obtenen imatges de l'estern per al seu estudi - RX Clavícules
Tècnica que usa els raigs X a través de la qual s'obtenen imatges de les clavícules per al seu estudi - RX Parilla costal
Tècnica que usa els raigs X a través de la qual s'obtenen imatges de les costelles per al seu estudi. - RX Columna dorsal
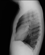
Tècnica que usa els raigs X a través de la qual s'obtenen imatges de la columna dorsal per al seu estudi. Indicacions: traumatisme, dolor, escoliosi. - Esofagograma
Prova diagnòstica que consisteix en obtenir imatges radiològiques en moviment de l'esòfag mitjançant l'ús de raigs X (fluorosòpia) i d'un contrast opac baritat que s'administra per via oral.
- Abdomen i pelvis
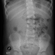
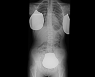
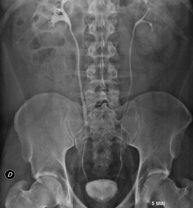
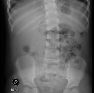
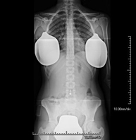
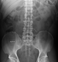
- RX Abdomen
Tècnica que usa els raigs X a través de la qual s'obtenen imatges de l'abdomen (estómac, intestí prim, intestí gros, fetge, ronyons, bufeta, pelvis òssia, etc.) per al seu estudi. - RX Columna lumbar
Tècnica que usa els raigs X a través de la qual s'obtenen imatges de la columna lumbar per al seu estudi. - TEGD (trànsit esòfag-gastro-duodenal)
Prova diagnòstica que consisteix en obtenir imatges radiològiques en moviment de l'esòfag, estómac i duodè mitjançant l'ús de raigs X (fluoroscòpia) i d'un contrast opac baritat que s'administra per via oral. - Trànsit intestinal
Prova diagnòstica que consisteix en obtenir imatges radiològiques en moviment de l'esòfag, estómac, duodè i intestí prim mitjançant l'ús de raigs X (fluoroscòpia) i d'un contrast opac baritat que s'administra per via oral. - Ènema opac doble contrast
Prova diagnòstica que consisteix en obtenir imatges radiològiques de l'intestí gros (còlon i recte) mitjançant l'ús de raigs X. S'utilitza un contrast opac que s'administra a través del recte en forma d'ènema i també s'introdueix aire per expandir el còlon.
- UIV (Pielografia descendent)
La urografia intravenosa (UIV) consisteix en l'obtenció d'imatges radiològiques seriades del ronyó, vies urinàries i bufeta. Aquest estudi requereix sempre l'ús d'un contrast iodat. - Cistografía (CUMS)
La cistouerotrografia miccional seriada consisteix en l'obtenció d'imatges radiològiques per valorar l'anatomia i la funció de la uretra i la bufeta amb l'administració de contrast iodat a través d'una sonda vesical. - Uretrocistografia (Uretro-Cums)
La uretrocistrografia retrògrada i miccional consisteix en l'obtenció d'imatges radiològiques per valorar l'anatomia i la funció de la bufeta i de la uretra. S'aplica material de contrast a través d'una petita sonda que es troba a la uretra i s'obtenen imatges durant l'ompliment i el buidatge de la bufeta. - Pielografia ascendent per catèter
Prova diagnòstica que consisteix en la visualització de l'urèter i de la pelvis renal mitjançant l'ús de raigs X en aquells pacients portadors d'un catèter mitjançant la injecció d'un contrast iodat a través del catèter.
- Pielografia per nefrostomia
Prova diagnòstica que consisteix en la visualització del tracte urinari mitjançant l'ús de raigs X en aquells pacients portadors d'un catèter de nefrostomia mitjançant la injecció d'un contrast iodat a través del catèter.
- Hipsterosalpingografia (HSG)
Prova diagnòstica que consisteix en la visualització i l'estudi de l'úter i les trompes de Falopi mitjançant l'ús de raigs X i un mitjà de contrast. La pacient haurà de realitzar un tractament antibiòtic profilàctic i es recomana la presa d'un sedant suau una hora abans de la prova. - Colangiografia Trans-Kher
Prova diagnòstica que consisteix en la visualització de l'arbre biliar mitjançant l'ús de raigs X en aquells pacients portadors d'un tub de Kehr a través de la injecció d'un contrast iodat mitjançant aquest tub.
- Osteoarticular
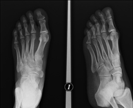
- RX Extremitats
Tècnica que usa els raigs X a través de la qual s'obtenen imatges de l'interior de les extremitats per al seu estudi, especialment dels ossos. Indicacions: traumatisme, infeccions articulars. - RX Artrografia
Procediment que permet, mitjançant l'ús de raigs X, i després d'injectar un contrast a l'interior de l'articulació, detectar lesions d'aquestes articulacions (cartílag, os, tendons, etc. ) segons la distribució del contrast. - RX Pelvis
Procediment que usa els raigs X a través de la qual s'obtenen imatges de la pelvis per al seu estudi, especialment dels ossos pèlvics. - RX Edat òssia
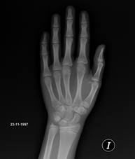
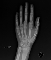
Estudi que mitjançant una radiografia de la mà permet valorar, en funció del desenvolupament dels ossos, l'edat del pacient i determinar si existeix un retard o un creixement superior pel que correspon a la seva edat. - RX Malucs pediatria
Estudi que usa els raigs X a través de la qual s'obtenen imatges del maluc i permet descartar luxacions. - RX Seriada òssia
Estudi que usa els raigs X a diferents parts del cos (crani, columna, costelles, pelvis, húmers i fèmurs) per descartar que existeixen lesions en aquests ossos. Indicacions: estudi del mieloma múltiple, gammapaties monoclonals, metàstasi. - RX Sacroilíaques
Procediment que mitjançant l'ús de raigs X permet l'estudi de les articulacions sacroilíaques i descartar que existeixen malalties inflamatòries, traumàtiques o degeneratives.
- Columna
- RX Columna cervical
Tècnica que usa els raigs X a través de la qual s'obtenen imatges de la columna cervical per al seu estudi. Indicacions: traumatisme, dolor cervical. - RX Columna dorsal
Tècnica que usa els raigs X a través de la qual s'obtenen imatges de la columna dorsal per al seu estudi. Indicacions: traumatisme, mal d'esquena. - RX Columna lumbar
Tècnica que usa els raigs X a través de la qual s'obtenen imatges de la columna lumbar per al seu estudi. Indicacions: ciàtica, traumatisme, dolor lumbar. - RX Sacre-còccix
Tècnica que usa els raigs X a través de la qual s'obtenen imatges del sacre i del còccix per al seu estudi. Indicacions: traumatisme, dolor sacre o coccigi. - Telerradiologia columna
Tècnica que usa els raigs X a través de la qual s'obtenen imatges de tota la columna vertebral per al seu estudi, amb la valoració especialment de la presència d'escoliosi i dismetries pèlviques.
- Pediatria
- RX Càvum
Tècnica que usa els raigs X a través de la qual s'obtenen imatges del càvum per al seu estudi. Indicacions: dificultat respiratòria, regurgitació, otitis de repetició. - RX Edat òssia
Estudi que mitjançant una radiografia de la mà permet valorar, en funció del desenvolupament dels ossos, l'edat del pacient i determinar si existeix un retard o un creixement superior pel que correspon a la seva edat. - RX Sins paranasals
Tècnica que usa els raigs X a través de la qual s'obtenen imatges dels sins paranasals per al seu estudi. Indicacions: cefalea, tos crònica. - RX Tòrax
Una radiografia de tòrax és una tècnica mitjançant la qual, amb l'ús d'una petita dosi de radiació, s'obté una imatge bidimensional de la caixa toràcica i el seu contingut (pulmons, cor, mediastí, etc. ). És una de les proves mèdiques realitzades més comuna. - RX Abdomen
Una radiografia d'abdomen és una tècnica mitjançant la qual, amb l'ús d'una petita dosi de radiació, s'obté una imatge bidimensional de l'abdomen amb les seves estructures anatòmiques (estómac, intestí prim, intestí gros, fetge, pàncrees, ronyons, bufeta, pelvis òssia, etc.) - Telerradiologia columna
Tècnica que usa els raigs X a través de la qual s'obtenen imatges de tota la columna vertebral per al seu estudi, amb la valoració especialment de la presència d'escoliosi i dismetries pèlviques. - Telematria EEII (Extremitats Inferiors)
Tècnica que usa els raigs X a través de la qual s'obtenen imatges de la totalitat d'ambdues extremitats inferiors per al seu estudi, amb la valoració especialment de la presència de dismetries entre elles. - RX Extremitats
Tècnica que usa els raigs X a través de la qual s'obtenen imatges d'ambdues extremitats per al seu estudi. - RX Malucs
Estudi que utilitza els raigs X per obtenir una imatge dels ossos de maluc i descartar luxacions. - Cistografia
La cistouretrografia miccional seriada consisteix en l'obtenció d'imatges radiològiques per valorar l'anatomia i la funció de la uretra i la bufeta amb l'administració de contrast iodat a través d'una sonda vesical.

































