

Centro Médico Teknon- Centro Médico Teknon
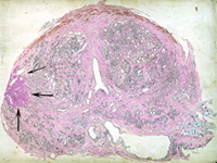
El cáncer de próstata es un tumor maligno que nace en la glándula prostática. El cáncer se inicia cuando un grupo de células empieza a multiplicarse sin control e invaden los tejidos cercanos, o pueden, a través de la circulación linfática o sanguínea, invadir tejidos u órganos lejanos, que es lo que conocemos con el nombre de metástasis.
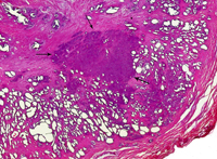
Aunque en la próstata existen varios tipos de células, es en las células glandulares, las responsables de la secreción que se produce durante la eyaculación, donde se originan la mayor parte de los cánceres prostáticos (95%) . Es el llamado adenocarcinoma de la próstata.
Los estudios en autopsias han demostrado la presencia de cáncer de próstata en uno de cada 3 varones examinados, pero el 80% de estos tumores tienen un tamaño muy pequeño y son clínicamente insignificantes. A los 70 años las autopsias muestran que un 46% de los varones tienen un cáncer de próstata, afortunadamente, en comparación con otros cánceres, tiene un crecimiento muy lento. Se calcula que un 90% de todos los cánceres de próstata permanecerán en estado latente durante décadas. En el 85-90%% de los hombres mayores de 80 años se encuentran focos microscópicos de adenocarcinoma. De este modo podemos decir que la mayor parte de los hombres con cáncer de próstata mueren por causas ajenas al tumor maligno.
En España, el cáncer de próstata constituye la tercera causa de muerte por cáncer después del de pulmón y el de colon. La incidencia y mortalidad en nuestro país se encuentra, junto con Italia y Grecia, entre las más bajas de Europa. Así, se calcula que 1 de cada 6 hombres desarrollará un cáncer de próstata a lo largo de su vida y que en 9 de cada 10 casos aparece en mayores de 65 años.
A pesar de que todavía desconocemos los factores específicos que originan y que hacen progresar al cáncer de próstata, sí sabemos que existen factores genéticos y ambientales que están relacionados con la aparición y el desarrollo de esta enfermedad.
Factores familiares y genéticos
Los varones que tienen familiares de primer grado (padre, hermanos) afectados de cáncer de próstata, sobre todo si han sido diagnosticados por debajo de los 55 años, tienen un mayor riesgo de sufrir esta enfermedad. Un 15% de los cánceres de próstata son hereditarios. Un gen específico denominado HPC1 se asocia con una alta probabilidad de sufrir la enfermedad.
Edad
La edad es el factor de riesgo más importante. La probabilidad de padecer un cáncer de próstata aumenta con la edad, es excepcional antes de los 40 años y empieza a encontrarse a partir de los 50 años. Dos de cada tres de los cánceres de próstata se encuentran en varones mayores de 65 años.
Raza y Geografía
El cáncer de próstata es más frecuente, más agresivo y aparece en edades más tempranas en varones afro-americanos. En Europa, el cáncer de próstata tiene una incidencia mayor en los países escandinavos y su frecuencia disminuye a mediada que viajamos hacia el sur. En este sentido, se ha postulado que ello puede ser debido a la diferente exposición a la luz solar. En Africa, Asia y Latinoamérica la exposición a la luz solar es menos frecuente, aunque se postula que la aparición de cáncer de próstata es debido a más factores dietéticos que a étnicos, pues los asiáticos que viven en EEUU presentan una mayor incidencia de cáncer de próstata que los que viven en Asia.
Hormonas
Las hormonas sexuales masculinas (andrógenos) son esenciales en el desarrollo y crecimiento de la próstata, teniendo un papel importante en la carcinogénesis prostática. Otras hormonas como la IGF-1 (insulin-like growth factor) se han asociado con el cáncer prostático.
Inflamación e infección
Los procesos de inflamación crónica que producen un aumento de la replicación celular para sustituir al tejido dañado contribuyen al desarrollo de cánceres como el de esófago, estómago, hígado y vejiga. Algunas investigaciones sugieren que el cáncer de próstata puede tener una causa infecciosa (papilomavirus, herpes virus y citomegalovirus) en un contexto de falta de respuesta, genética o adquirida, de los mecanismos de defensa celular contra la infección.
Obesidad
La obesidad tiene una clara relación con los cánceres de colon y mama. El tratamiento de la obesidad a través de una reducción en el consumo de grasas y en un aumento del ejercicio físico produce una disminución del "stress oxidativo" y reduciendo así el riesgo de padecer cáncer de próstata.
Dieta
Existen evidencias de que los factores dietéticos juegan un papel importante, como ocurre en los cánceres de colon y mama. En 1998 ya se observó que la mortalidad del cáncer de próstata estaba inversamente relacionada con el consumo de cereales, nueces, aceite de oliva y pescado.
Grasas
La incidencia y mortalidad del cáncer de próstata se correlaciona estrechamente con el consumo de grasas polinsaturadas, carnes rojas, lácteos y huevos. Se ha observado que niveles altos de grasa estimulan la proliferación de las células del cáncer de próstata en modelos animales y que una dieta sin grasas puede reducir el crecimiento de los tumores en el animal de experimentación. Otro factor que puede explicar la asociación entre las dietas ricas en grasas y el cáncer de próstata es que las dietas ricas en carnes rojas se acompañan de una ingesta baja en vegetales. Además las dietas ricas en lácteos, carne y huevos son ricas en calcio y zinc, dos sustancias que pueden modificar el riesgo de sufrir un cáncer de próstata.
Soja
Las legumbres constituyen una fuente energética muy importante en las dietas asiáticas, donde la incidencia del cáncer de próstata es baja. Las habas de soja son muy ricas en isoflavonas (genisteína y daidzeina) una sustancia con una débil actividad estrogénica. Estas isoflavonas tienen la capacidad de inhibir el crecimiento de las células prostáticas, tanto benignas como malignas y reducir el crecimiento de los tumores en el animal de experimentación.
Licopeno
El licopeno es el pigmento rojo que se encuentra en los tomates y en los otros frutos de color rojo. Es un beta-caroteno con una potente actividad antioxidante y que también inhibe el crecimiento de las células prostáticas, benignas y malignas, en los modelos de laboratorio (in vitro). En la actualidad no disponemos de estudios científicos que demuestren, claramente, los efectos del consumo de licopeno en el cáncer de próstata.
Té verde
Muy consumido en Asia donde la incidencia del cáncer de próstata es baja. Contiene unas sustancias antioxidantes llamados polifenoles. Estudios "in vitro" y el animal de laboratorio han demostrado que la epigalocatequina, el principal polifenol de la hoja del té verde, inhibe el crecimiento de las células tumorales.
Pescado
Un reciente trabajo ha demostrado que un consumo elevado de pescado, si bien no tiene relación con la incidencia del cáncer de próstata, sí que disminuye, en los pacientes diagnosticados de cáncer de próstata, hasta un 63% el riesgo de morir por la enfermedad. Ello se supone que es debido al efecto antiinflamatorio de las grasas del pescado que puede enlentecer el crecimiento del tumor maligno.
Consumo de alcohol
El consumo de 1-3 vasos de vino tinto a la semana tiene un efecto protector, ello se supone que es debido a su alto contenido en polifenoles con actividad antioxidante.
Tabaquismo
No tiene unarelación clara con una mayor incidencia de cáncer de próstata aunque si se ha demostrado su asociación con un estadio más avanzado en el momento del diagnóstico y con una mayor mortalidad.
¿Los suplementos de vitaminas y minerales previenen el cáncer de próstata?
No, en el estudio SELECT, en más de 35.000 varones, los investigadores demostraron que los suplementos de vitamina E (tocoferol) y selenio, tras 7 años de seguimiento no tuvieron ningún efecto sobre el riesgo de sufrir un cáncer de próstata. En otro estudio, elPSHS II, tampoco se demostró efecto alguno de la vitamina C ni de la vitamina E. La evidencia científica actual sugiere que ni el selenio ni las vitaminas E y C deben ser utilizadas con la esperanzade prevenir el cáncer de próstata.
En sus fases iniciales, cuando el tumor está confinado en la próstata, no produce ningún síntoma porque la mayoría de los tumores se encuentran alejados de la uretra.
En fases avanzadas pueden aparecer síntomas debidos a la obstrucción urinaria como los que se presentan en la HBP obstructiva, hematuria (sangre en la orina), impotencia, incontinencia urinaria, y, cuando la enfermedad se ha diseminado a distancia, puede aparecer dolor en columna, costillas y otros huesos.
¿Cuáles son las opciones de tratamiento para el cáncer de próstata localizado?
En los pacientes del grupo de bajo riesgo existe la alternativa de no efectuar ningún tratamiento y mantenerse en "espera vigilada". Los tratamientos más efectivos en las fases inciales de la enfermedad son prostatectomía radical, la radioterapia externa y la braquiterapia.


































