Tumores de órbita. ¿Qué son? ¿Cómo se diagnostican? ¿En qué consiste su tratamiento?

Un tumor es un crecimiento anormal de un tejido. En el caso de los tumores de órbita, el crecimiento se localiza en los tejidos que rodean el globo ocular. Se trata de tumores poco frecuentes que pueden aparecer en cualquier edad y que pueden ser benignos o malignos.
Los primeros pueden ocasionar daños en diferentes estructuras de la órbita, como el hemangioma cavernoso, que puede causar problemas de visión por su localización. Los tumores orbitarios cancerosos son poco frecuentes y, además de afectar las estructuras de la órbita, pueden invadir tejidos próximos o producir metástasis en otros órganos o nódulos linfáticos lejanos.

Síntomas de los tumores orbitarios
- Disminución de la visión
- Que un ojo aparezca más saltón que otro, o exoftalmos
- Visión doble o diplopía
- Que un párpado aparezca más caído que otro, o ptosis palpebral
- Dolor
Diagnóstico del tumor orbitario

Una vez confirmada la presencia del tumor orbitario, lo más importante es determinar el tipo de tumor.
Los tumores orbitarios más habituales en niños son el hemangioma capilar, que también puede afectar el párpado produciendo ptosis, y el quiste dermoide. El linfangioma es un tumor vascular muy llamativo que también se suele producir en la edad infantil.
En cuanto a los tumores malignos en la edad pediátrica son poco frecuentes y requieren en su mayoría de estudio anatomopatológico para llegar a un diagnóstico definitivo, lo que determinará su tratamiento.
Los tumores benignos más frecuentes en adultos son los de origen vascular, como el hemangioma cavernoso y las malformaciones arterio-venosas. También pueden producirse tumores que afectan los nervios, la grasa, o los senos paranasales.
Entre los malignos más frecuentes en adultos se encuentran:
- Linfoma
- Metástasis orbitarias
- Hemangiopericitoma
- Condrosarcoma
- Neurofibroma maligno
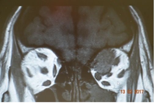
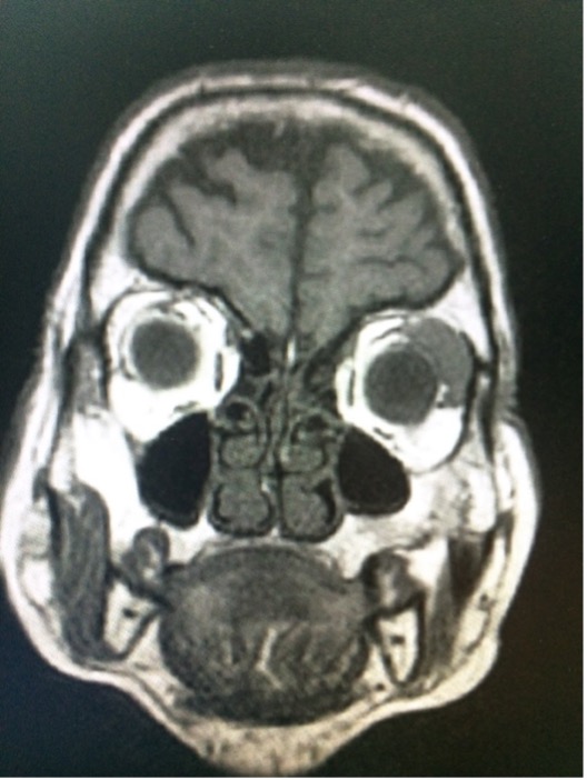
Las nuevas tecnologías permiten obtener imágenes muy precisas que nos ayudan en el diagnóstico del tumor y nos guían durante la cirugía.
Gracias a la biopsia de la lesión podremos llegar, en la mayoría de los casos, al diagnóstico definitivo del tipo de tumor para aplicar el tratamiento más adecuado.
Según su localización en la órbita (ya sea anterior, media, posterior, intraconal, y según el cuadrante etc…) se diseñará la vía de abordaje más adecuada para la extracción del tumor orbitario.
Las pruebas más comunes para el diagnóstico de tumor de órbita
- Pruebas de imagen orbitarias. Permiten obtener más información sobre las características del tumor y llegar a su diagnóstico.
- Resonancia Magnética
- Tomografía computerizada
- Biopsia del tumor orbitario. Para llegar al diagnóstico definitivo
Tratamiento el tumor orbitario

El tratamiento dependerá de las características clínicas de cada caso, y de cada paciente.
Es fundamental obtener una historia exhaustiva del proceso, a ser posible con fotos de los pacientes de antes de sufrir los cambios, así como una exploración oftalmológica y orbitaria adecuadas para determinar de qué manera la lesión le está afectando.
De esta manera se puede determinar el grado de crecimiento en el tiempo, el lugar en que se encuentra la supuesta masa etc… Estos parámetros nos ayudarán a establecer un diagnóstico diferencial lo que nos orientará hacia qué tipo de tumor se trata.
Según las características de cada tumor, el tratamiento consistirá en la extracción quirúrgica del tumor orbitario, o bien tratamiento con quimioterapia o radioterapia o combinación de los anteriores.
En la actualidad disponemos de técnicas quirúrgicas poco invasivas con pequeñas incisiones que permiten una rápida recuperación del paciente y un resultado estéticamente superior.
Para saber más del Dr. Miguel González Candial y solicitar hora de visita, entra en https://www.teknon.es/ca/especialitats/gonzalez-candial-miguel






