Radiología. La infatigable compañera de la Cardiología Intervencionista

Se acerca el Día Internacional de la Radiología, el 8 de noviembre, y es justo y adecuado que la Cardiología Intervencionista rinda homenaje a esta imprescindible compañera de viaje que siempre nos guía: la Radiología. La verdad es que hemos conseguido cosas muy grandes juntos: desde disminuir la mortalidad y mejorar el pronóstico de los pacientes que sufren un infarto agudo de miocardio hasta, impensable hace años, implantar una válvula cardíaca desde un acceso vascular.
Grandes logros, gracias al trabajo conjunto entre especialistas en radiología y cardiología intervencionista
Son ya muchos los años de trabajo conjunto y el haber aunado las técnicas de imagen al conocimiento de nuestra especialidad ha dado lugar a un crecimiento y capacidad de innovación ejemplares, que repasaremos en los párrafos siguientes.
Primera angioplastia coronaria
De la mano de Andreas Grüntizig, cardiólogo y radiólogo alemán, en 1977 se llevó a cabo la primera angioplastia coronaria mediante la cual se lograba mejorar el flujo sanguíneo de una arteria coronaria obstruida.
Stents coronarios
Años más tarde, en 1986, Puel y Sigwart implantan el primer stent coronario autoexpandible (Wallstent, Schneider AG; Bulach, Suiza) para seguidamente, un año después, Palmaz y Schatz desarrollar el primer stent expandible con balón, como los que utilizamos hoy (Palmaz-Schatz, Johnson &Johnson; New Brunswich, New Jersey, Estados Unidos).

Angioplastia con stent

Angioplastia con stent
La angioplastia coronaria transluminal percutánea con implantación de stent ha sido capaz, en las salas de RX de los laboratorios de Hemodinámica y Cardiología Intervencionista, de combatir eficazmente a la enfermedad que más mortalidad causa en las sociedades modernas: la enfermedad coronaria.

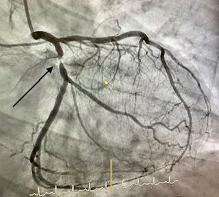
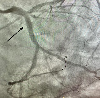
Angioplastia con stent en un infarto (arteria cerrada 100%)

Angioplastia con stent en un infarto (arteria cerrada 100%)
Tratar las válvulas cardíacas
Yendo un poco más allá, también en nuestros laboratorios hemos sido capaces de tratar la enfermedad de las válvulas cardíacas.
En el año 1979 Semb llevó a cabo la primera valvuloplastia percutánea concretamente sobre la válvula pulmonar estenótica de un recién nacido. En 1984 Inoue trata por primera vez con éxito una de las secuelas más importantes de la fiebre reumática, la estenosis de la válvula mitral. Unos cuantos años más tarde, en abril del 2002, Alain Cribier implanta la primera válvula aórtica transcatéter en un ser humano.
Hoy en día, se han tratado ya en nuestros laboratorios de Cardiología Intervencionista cientos de miles de pacientes afectos de esta enfermedad valvular degenerativa tan frecuente.

Liberación de una TAVI

Liberación TAV

Liberación TAVI
Quirófanos híbridos
El tratamiento percutáneo o transcatéter de lo que nosotros denominamos "cardiopatías estructurales", ha dado lugar a la creación de quirófanos híbridos en los que asienta un sofisticado aparato de RX inmerso en el seno de un área quirofanizada. Si en algún momento alguno de estos procedimientos requiere de la técnica quirúrgica propiamente dicha, no hace falta ni movilizar a los pacientes.
Hoy día somos capaces de corregir la insuficiencia mitral, de cerrar comunicaciones congénitas anómalas entre cavidades e incluso corregir o mejorar la disfunción de prótesis mecánicas o biológicas cardíacas implantadas hace años…
El Instituto del Corazón Quirónsalud Teknon
En este señalado día, el Instituto del Corazón del Centro Médico Teknon pone al alcance de todos nuestros pacientes este arsenal de posibilidades terapéuticas y un equipo multidisciplinar único, formado por los mejores profesionales especialistas en cada uno de sus campos: cardiología clínica, cirugía cardiaca, cirugía vascular, especialistas en imagen cardíaca, radiología, hemodinámica, patología cardíaca estructural, electrofisiología y arritmias, y expertos en rehabilitación cardiovascular.
La Cardiología Intervencionista brinda en nuestros laboratorios y cómo no, en nuestro quirófano híbrido, la oportunidad de tratar de manera eficaz y poco invasiva muchas dolencias cardíacas.






