Radiologia. La infatigable companya de la Cardiologia Intervencionista

S'acosta el Dia Internacional de la Radiologia, el 8 de novembre, i és just i adequat que la Cardiologia Intervencionista reti homenatge a aquesta imprescindible companya de viatge que sempre ens guia: la Radiologia. La veritat és que hem aconseguit coses molt grans junts: des de disminuir la mortalitat i millorar el pronòstic dels pacients que sofreixen un infart agut de miocardi fins a, impensable fa anys, implantar una vàlvula cardíaca des d'un accés vascular.
Grans fites, gràcies al treball conjunt entre especialistes en radiologia i cardiologia intervencionista
Són ja molts els anys de treball conjunt i l'haver conjuminat les tècniques d'imatge al coneixement de la nostra especialitat ha donat lloc a un creixement i capacitat d'innovació exemplars, que repassarem en els paràgrafs següents.
Primera angioplàstia coronària
De la mà de Andreas Grüntizig, cardiòleg i radiòleg alemany, en 1977 es va dur a terme la primera angioplàstia coronària mitjançant la qual s'aconseguia millorar el flux sanguini d'una artèria coronària obstruïda.
Stents coronaris
Anys més tard, en 1986, Puel i Sigwart implanten el primer stent coronari autoexpandible (Wallstent, Schneider AG; Bulach, Suïssa) per a seguidament, un any després, Palmaz i Schatz desenvolupar el primer stent expandible amb pilota, com els que utilitzem avui (Palmaz-*Schatz, Johnson &Johnson; New Brunswich, Nova Jersey, els Estats Units).

Angioplàstia amb stent

Angioplàstia amb stent
L'angioplàstia coronària transluminal percutània amb implantació de stent ha estat capaç, a les sales de RX dels laboratoris d'Hemodinàmica i Cardiologia Intervencionista, de combatre eficaçment a la malaltia que més mortalitat causa en les societats modernes: la malaltia coronària.

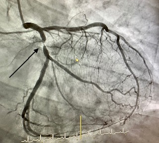
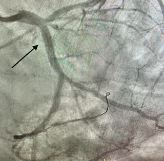
Angioplàstia amb stent en un infart (artèria tancada 100%)

Angioplàstia amb stent en un infart (artèria tancada 100%)
Tractar les vàlvules cardíaques
Anant una mica més enllà, també en els nostres laboratoris hem estat capaços de tractar la malaltia de les vàlvules cardíaques
L'any 1979 Semb va dur a terme la primera valvuloplastia percutània concretament sobre la vàlvula pulmonar estenótica d'un nounat. En 1984 Inoue tracta per primera vegada amb èxit una de les seqüeles més importants de la febre reumàtica, l'estenosi de la vàlvula mitral. Uns quants anys més tard, a l'abril del 2002, Alain Cribier implanta la primera vàlvula aòrtica transcatéter en un ésser humà.
Avui dia, s'han tractat ja en els nostres laboratoris de Cardiologia Intervencionista centenars de milers de pacients afectes d'aquesta malaltia valvular degenerativa tan freqüent.

Alliberament d'una TAVI

Alliberament d'un TAV

Alliberament TAVI
Quiròfans híbrids
El tractament percutani o transcatèter del que nosaltres denominem "cardiopaties estructurals", ha donat lloc a la creació de quiròfans híbrids en els quals assenteixi un sofisticat aparell de RX immers en el si d'una àrea quirofanitzada. Si en algun moment cap d'aquests procediments requereix de la tècnica quirúrgica pròpiament dita, no fa falta ni mobilitzar als pacients.
Avui dia som capaços de corregir la insuficiència mitral, de tancar comunicacions congènites anòmales entre cavitats i fins i tot corregir o millorar la disfunció de pròtesis mecàniques o biològiques cardíaques implantades fa anys.
L'Institut del Cor Quirónsalud Teknon
Amb motiu del Día de la Radiologia, l'Institut del Cor del Centro Médico Teknon posa a l'abast de tots els nostres pacients aquest arsenal de possibilitats terapèutiques i un equip multidisciplinari únic, format pels millors professionals especialistes en cadascun dels seus camps: cardiologia clínica, cirurgia cardíaca, cirurgia vascular, especialistes en imatge cardíaca, radiologia, hemodinàmica, patologia cardíaca estructural, electrofisiologia i arrítmies, i experts en rehabilitació cardiovascular.
La Cardiologia Intervencionista ofereix els nostres laboratoris i com no, en el nostre quiròfan híbrid, l'oportunitat de tractar de manera eficaç i poc invasiva moltes malalties cardíaques.






